Optimal Condylær Position 
Hvad, hvorfor, hvornår & hvordan?

________________________________ 

Sorø datoer:
Ingen aktuelle datoer

 

Esbjerg datoer: 
Ingen aktuelle datoer.

 

Følg med på "Tandlæger" og "Tandkurser" på FB hvor jeg informerer om nye datoer.

De af jer der står på ventelisten, vil modtage mail ang. nye datoer når disse er fastlagt. 

_______________________________ 

Lokationer finder du under FAQ nederst på siden.

Optimal Condylær Position 

Hvad er det egentlig, og har du brug for det i din hverdag på klinikken?

"Helt afgjort" vil jeg mene.

 

Det vil give dig en ekstra dimension både hvad angår diagnostik, behandlingsplanlægning og behandling.

 

 

Kan du ikke, men vil du gerne med?

Så udfyld her. Når og hvis jeg slår flere datoer op, vil du blive kontaktet. 

Vælg hvor det passer dig bedst.

 

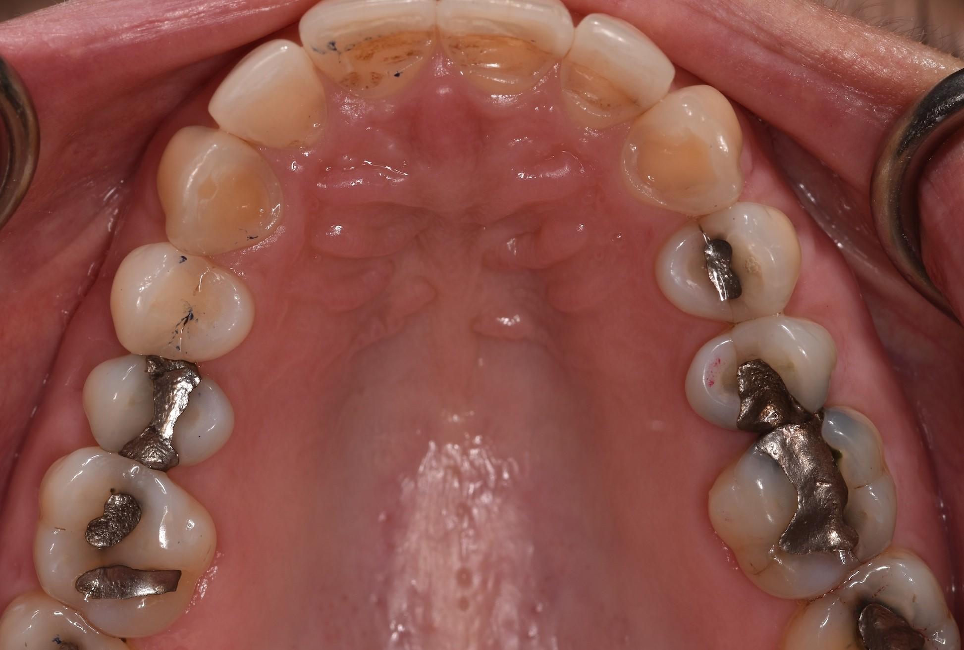
Infraktioner, slid, frakturer, tab af kronehøjde, tandtab, vandringer - osv...

 

Vi står ofte overfor komplekse udfordringer, hvor enkelttandsbehandlinger ikke rigtig nytter noget i den store sammenhæng. Vi er trænet i enkelttandsbehandling.
Det er vi super skarpe til, hvilket er fantastisk når det gælder. Men det er trist og utilfredsstillende, hvis vi pga manglende viden og erfaring overser, hvor de stor gevinsten er, for både patienten og dig som behandler, hvis der tænkes tredimensionalt.

Oftere end du aner, bør du komme op i "helikopteren", og få det store forkromede overblik, inden du sætter gang i boret. Det kræver mere undersøgelse og mere okklusionsviden! Og jeg lover - det er mere HOT end det er NOT!


I løbet af dagen er det mit ønske, at vække din opmærksomhed over for alle de muligheder du har, og give dig redskaber til at komme videre.

FOR;
* Hvordan griber du det an, og hvad skal du være opmærksom på?
* Hvad har det overhovedet med centrisk relation at gøre?
* Hvordan får du det implementeret i din hverdag på klinikken?
* Og ikke mindst - hvad siger du til patienten?

Hvis du og jeg skal holde vores patienter sunde og infektionsfrie, så er forebyggelse og velovervejet valg af behandling og behandlingsmetoder af højeste vigtighed. 

Her er viden om okklusion vigtig.

Efter kurset vil du;

Vide hvad Optimal Condylær Position (OCP) er og hvordan du finder området. 

* Have viden og begreb om hvad du skal og kan bruge det til, når du har fundet det.

* Kende tegnene på, hvornår du skal tage det alvorligt? 

* Kunne registrerer biddet i CPO og overføre modeller til en artikulator, så du kan begynde din behandlingsplanlægning.

* Vide om du kan nøjes med at equillibrere biddet eller om det kræver opbygning, orto eller måske orto/kir.

* Hvordan du undersøger led og muskler, og udreder hvem der er farlig, og hvem der ikke er farlig at behandle. 

* Vide hvordan du kan udføre diverse behandlinger. (Plast frihånd eller vha wax-ups og stents, equillibrering, deprogrammering og skinnebehandling)

Vil du lære mere?


Så gør mig selskab. Jeg vil gøre mit bedste for at få dig op i helikopteren. 

En fuld dag med teori, praktiske øvelser, behandlingsplanlægning og behandling med omdrejningspunkt i centrisk relation og minimalt invasive løsninger.

PROGRAM:

9.00 - 12.00.  
Optimal Condylær Position. Undersøgelse. Diagnostik mm.

12.00 - 13.00
Frokost 

13.00 - 17.00
Praktiske øvelser på hinanden i klinikken. Opsamling, behandlingsplanlægning og behandlingsmetoder. 

 

Kurset giver 7 timers efteruddannelse.

PS: Har du brug for at kontakte mig ang. spørgsmål eller andet så skriv til mig via Facebook eller på min mail,

[email protected]

 

Du er velkommen til at følge min internationale profil, hvor mit fokus er at holde tænder vitale med tætte erstatninger og gode bid.

Instagram/regitze.the.dentist/

Lokalt slid.

Vi møder det næsten dagligt.

Hvilke muligheder har du, når du skal løse det? 

 

Vi gennemgår, hvordan du kan gribe det an.

 

Vil du med, men en anden gang?

Hvis datoer ikke passe så udfyld her. Når jeg slår flere datoer op, vil du blive kontaktet. 

Vælg hvor det passer dig bedst.

Kurset i Esbjerg på Hjerting Badehotel.

 

Kursets formiddagsprogram og frokost afholdes på det forholdsvis nyrenoverede badehotel, hvor der også kan bookes overnatning, hvis man er i god tid. 

Eftermiddagsprogrammet foregår på min klinik 7 km fra hotellet. Jeg sørger for transport for dem der har behov for det.
Jeg har desværre ikke plads på klinikken til hele programmet. De praktiske øvelser er vigtige og lærerige, så dette blev løsningen.

 

Der er gourmetrestaurant og brasserie på hotellet. 

Hotellet ligger ud til Ho bugt ved indsejlingen fra Vesterhavet. 

Når du nu er i området, kan jeg varmt anbefale kulturelle udflugter eller storslåede naturoplevelser, som:

* Tirpitz i Blåvand
* Vadehavscentret ved Ribe
* Ribe
* Fanø
* Vesterhavet, hvor du vil blive godt sust igennem.
* Naturpark Vadehavet

 

Vil du med?

Så udfyld her. Når og hvis jeg slår flere datoer op, vil du blive kontaktet. 

Vælg hvor det passer dig bedst.